Kurs-Filter

  • Lorem ipsum
  • Lorem ipsum
  • Lorem ipsum
  • Lorem ipsum
  • Lorem ipsum
  • Lorem ipsum
  • Lorem ipsum
  • Lorem ipsum
  • Lorem ipsum
  • Lorem ipsum
  • Lorem ipsum
  • Lorem ipsum
  • Lorem ipsum
  • Lorem ipsum
  • Lorem ipsum

suchen

DE

Tutorial

Suchen

DE

Tutorial

1258

DE

Online

Injection Moulding Technique (Online)

Essentielle Guidelines und Prinzipien zur ästhetisch-funktionellen Umsetzung

Dr. med. dent.
Maximilian Dobbertin
Privatpraxis

Datum:

Sofort verfügbar

Kurs-Nr.:

online-2510

Preis:

  • CHF 150.00 (exkl. MwSt.)

CREDITS

2

15

MyPoints!

DE

Online

Injection Moulding Technique (Online)

Essentielle Guidelines und Prinzipien zur ästhetisch-funktionellen Umsetzung

Dr. med. dent.
Maximilian Dobbertin
Privatpraxis
i

Datum:

Sofort verfügbar

Kurs-Nr.:

online-2510

Preis:

  • CHF 150.00 (exkl. MwSt.)

CREDITS

2

15

MyPoints!

DE

Online

Injection Moulding Technique (Online)

Essentielle Guidelines und Prinzipien zur ästhetisch-funktionellen Umsetzung

Dr. med. dent.
Maximilian Dobbertin
Privatpraxis
i

Datum:

Sofort verfügbar

Kurs-Nr.:

online-2510

Preis:

  • CHF 150.00 (exkl. MwSt.)

CREDITS

2

15

MyPoints!

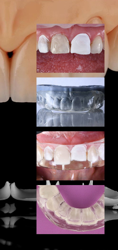
Lernen Sie die spannende, neue Behandlungsmethode «Injection-Moulding-Technik» in einem praxisnahen on-demand Webinar kennen. Im Vergleich zur Präparation und dem Einsetzen von Keramikveneers ist diese Technik kostenfreundlicher für die Patienten, weniger invasiv und reparabel. Gegenüber der Freihand-Composite Schichtung ist sie einfacher, besser vorhersagbar und reproduzierbar. Mit der Injection-Moulding-Technik lassen sich zuverlässig dauerhafte Ergebnisse erzielen, vorausgesetzt die Fallauswahl ist adäquat und es wird sorgfältig vorgegangen.

Der Referent führt Sie dabei durch potentielle Fehlerquellen und Probleme, die bei dieser Technik entstehen können und zeigt Ihnen anschaulich, wie man durch eine gute Planung Fehler frühzeitig erkennen und vermeiden kann.

Schwerpunkte

  • Klinische Fälle veranschaulichen das breite Anwendungsspektrum
  • Erarbeitung verschiedenster «Injection-Techniken», so z. B. Single-Shade, Schichten, Cut-Back und Shade-Mixing an Frontzähnen
  • Injection-Moulding mit Composite (alle Klassen)
  • Herstellung eines individuellen, glasklaren Silikonschlüssels
  • Individuell geschichtete Frontzahnrekonstruktionen, direktes Veneering
  • Vergleich analoger und digitaler Workflow bei der Herstellung von Veneers


Materialkunde und Vergleich verschiedener fliessfähiger Komposite