Kurs-Filter

  • Lorem ipsum
  • Lorem ipsum
  • Lorem ipsum
  • Lorem ipsum
  • Lorem ipsum
  • Lorem ipsum
  • Lorem ipsum
  • Lorem ipsum
  • Lorem ipsum
  • Lorem ipsum
  • Lorem ipsum
  • Lorem ipsum
  • Lorem ipsum
  • Lorem ipsum
  • Lorem ipsum

suchen

DE

Tutorial

Suchen

DE

Tutorial

1258

Hands-on Workshop

Ästhetik ohne Kronen?

Komposit kann’s ! Können Sie es auch ?

Best-Friends-Bonus: 20% Rabatt ab 3 gemeinsamen Anmeldungen!

Prof. Dr. med. dent.
Gabriel Krastl
Universität Würzburg

Datum:

Sa 24.04.27 09:00-16:00

Kurs-Nr.:

2027-K2534

Preis:

  • CHF 580.00 (exkl. MwSt.)

  • BFB 20%: nur CHF 464.00 (exkl. MwSt.) i

CREDITS

7

58

MyPoints!

Hands-on Workshop

Ästhetik ohne Kronen?

Komposit kann’s ! Können Sie es auch ?

Best-Friends-Bonus: 20% Rabatt ab 3 gemeinsamen Anmeldungen!

Prof. Dr. med. dent.
Gabriel Krastl
Universität Würzburg
i

Datum:

Sa 24.04.27 09:00-16:00

Kurs-Nr.:

2027-K2534

Preis:

  • CHF 580.00 (exkl. MwSt.)

  • BFB 20%: nur CHF 464.00 (exkl. MwSt.) i

CREDITS

7

58

MyPoints!

Hands-on Workshop

Ästhetik ohne Kronen?

Komposit kann’s ! Können Sie es auch ?

Best-Friends-Bonus: 20% Rabatt ab 3 gemeinsamen Anmeldungen!

Prof. Dr. med. dent.
Gabriel Krastl
Universität Würzburg
i

Datum:

Sa 24.04.27 09:00-16:00

Kurs-Nr.:

2027-K2534

Preis:

  • CHF 580.00 (exkl. MwSt.)

  • BFB 20%: nur CHF 464.00 (exkl. MwSt.) i

CREDITS

7

58

MyPoints!

Praktischer Workshop am Modell

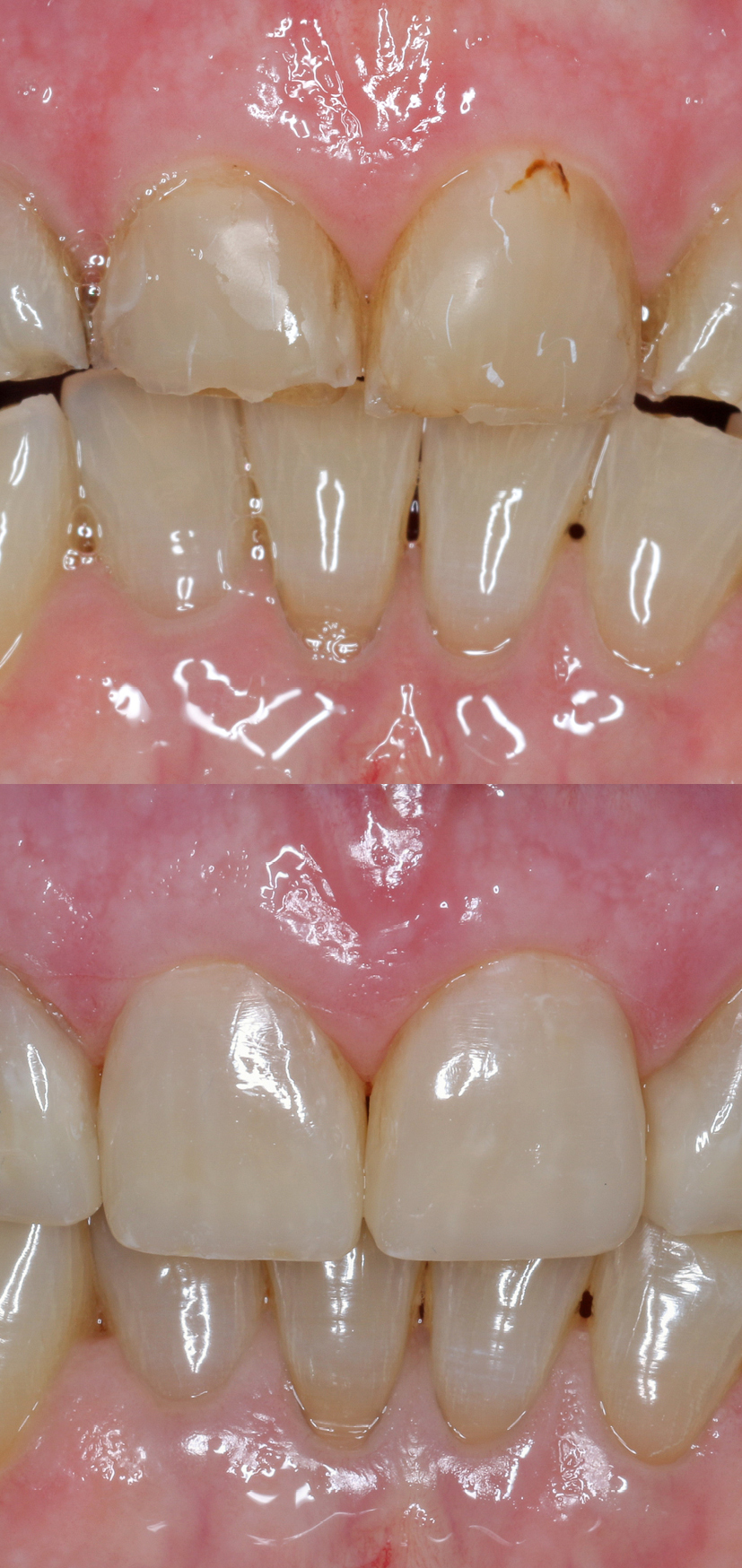
Wer bei direkten Kompositrestaurationen nur an kleine Korrekturen denkt, unterschätzt ihr Potenzial. Moderne Materialien ermöglichen heute weit mehr: substanzschonende, hochästhetische und zugleich erstaunlich vielseitige Lösungen – vom kleinen Defekt bis zur umfassenden restaurativen Gestaltung ganzer Frontzahnsegmente.

Der Kurs zeigt, wie sich mit einem klaren Konzept und dem richtigen Blick für Form, Farbe und Oberflächenstruktur ästhetische Resultate erzielen lassen, die in Natürlichkeit und Wirkung überzeugen. Anhand zahlreicher klinischer Fälle wird demonstriert, wie breit das Indikationsspektrum tatsächlich ist und wie direkte Kompositrestaurationen auch bei umfangreicheren Ausgangssituationen zu einer echten Behandlungsalternative werden können.

Besonders spannend ist dabei, dass exzellente Ästhetik heute nicht zwingend eine aufwändige Schichtung mit einer Vielzahl unterschiedlicher Massen erfordert. Moderne Werkstoffe erlauben in vielen Fällen ein deutlich vereinfachtes Vorgehen – effizient, praxisnah und dennoch auf hohem ästhetischem Niveau.

Schwerpunkte:

  • Wann welche Schichttechnik sinnvoll ist – und wann ausgezeichnete Ergebnisse auch mit Universalmassen gelingen
  • Malfarben gezielt einsetzen
  • Direkte Kompositteilkrone am Modell
  • Zahnformkorrektur/Diastemaschluss sowie Verschluss schwarzer zervikaler Dreiecke am Modell
  • Natürliche Oberflächengestaltung effizient und praxistauglich umsetzen
  • Indikationsstellung – wann direkte Kompositrestaurationen eine echte Alternative zu indirekten Versorgungen sind
  • Frontzahnästhetik im Überblick – Form, Farbe und Proportionen gezielt analysieren und umsetzen